首先,我們先來看一張令人痛心的圖片。

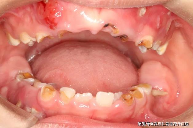
這是一名4歲男孩瑞瑞的口內照片,從照片里面可以看出,瑞瑞幾乎全口都是蛀牙,大部分牙齒僅剩殘冠。為什么會出現這種情況呢?瑞瑞爸無奈的說道,瑞瑞有睡前喝奶的習慣,經常含著奶瓶就睡著了,也不愛刷牙,家人也沒多加約束,所以在兩歲的時候,就開始有了蛀牙。瑞瑞家人認為,孩子乳牙蛀了沒關系,反正會換新牙,就這樣一直沒有重視。結果到了近日,瑞瑞蛀牙情況越發嚴重,還經常出現酸痛腫脹等癥狀,這才帶他前來家附近武漢仁愛口腔醫院就醫。
專治兒童口腔楊醫師給瑞瑞做了口腔檢查后告知,瑞瑞的這種短時間內形成多個進展迅速的滿口齲齒叫“猛性齲”又稱猖獗齲。與含奶瓶入睡、喝夜奶、不良口腔衛生習慣等因素有關,多見于兒童初萌牙列和頭頸部放射線治療或患嚴重口干癥的成年人。
“猛性齲會導致短期內多個牙面同時患齲、并迅速進展,累及口腔內大多數牙,造成大面積齲壞,甚至很快進展到牙髓引起牙髓及根尖炎癥,在兒童群體里越來越常見。”楊醫師指出,在睡覺時,人的口腔唾液分泌會減少,牙齒自潔能力減弱,如果孩子含奶瓶入睡或喝夜奶后不及時刷牙,牙齒就會長時間處在含有大量乳糖、蔗糖等碳水化合物的唾液微環境中,細菌易滋生繁殖,就會造成牙齒脫礦,形成蛀牙。此外,如果發現蛀牙不及時治療、口腔衛生狀況不好等,也會導致口腔內細菌越積越多,在細菌、飲食、牙和唾液等共同因素作用下,就易導致“猛性齲”的發生。
猛性齲危害大,應該如何預防?
經檢查發現,瑞瑞的口腔狀況不容樂觀。20顆牙齒中,有2顆深齲,有11顆牙齒僅剩殘冠,牙根完全吸收。還波及到繼承恒牙胚的發育、礦化,鈣化,會導致日后新牙萌出后會出現發育不全發育異常等情況。此外,瑞瑞右下有2顆牙齒有嚴重根尖炎癥,造成牙槽骨骨質破壞,如果不盡早處理,這個骨質破壞會繼續下去,可能會導致頜骨間隙出現感染,引起頜骨的骨髓炎。
(紅色區域為牙槽骨骨質破壞區)

同時,瑞瑞下門牙有2顆乳牙因齲壞嚴重而過早缺失,導致恒牙過早萌出,這2顆“提前上崗”的恒牙,牙根目前仍處于未發育完善的狀態,這會導致日后恒牙松動,容易脫落。
(2顆過早萌出的恒牙)

楊醫師指出,猛性齲危害大、發展迅速。不僅會直接造成乳牙缺損,繼而發展為牙髓病、根尖周病,甚至可能會導致孩子牙齒早失,影響孩子的咀嚼、消化系統的正常功能,影響恒牙的萌出,使繼承恒牙發育異常。此外,乳牙早失還可能會導致恒牙萌出的正常時間、順序和位置異常,出現換牙后的牙齒不齊,也直接影響美觀,甚至影響吐字發音,孩子的自尊心和自信心很容易受到打擊,給孩子身心健康造成不可逆的傷害。
她建議
孩子乳牙萌出后,要盡量給寶寶戒除夜奶,喝完奶后要擦洗口腔和牙齒,或者用溫開水漱漱口。家長還要引導孩子養成良好的口腔衛生習慣,幫助孩子刷牙的同時,指導孩子漸漸學會獨立刷牙,學會用牙線清潔口腔。還可以在孩子3歲以后每半年涂一次氟,乳磨牙和恒磨牙長出后做窩溝封閉等措施,預防齲齒。同時如果家長發現孩子有蛀牙,一定要及時帶孩子就醫,以免耽誤病情,導致“猛性齲”的發生。
所以,家長千萬不要再認為
“乳牙蛀牙沒關系,換新牙就好了”
因為乳牙蛀牙的危害
比你想象的要大得多
兒童健康成長
從關注乳牙健康開始!
如果您有什么口腔疾病上的疑問,可以及時“在線咨詢”或撥打我們下方咨詢熱線;武漢仁愛口腔醫院推出網絡掛號預約系統,預約時間就診更方便快捷,省去看醫生要排隊的煩惱。

(武漢仁愛醫院怎么樣呢_武漢仁愛醫院咨詢預約方式)
轉載請注明來源:360常識大全網 http://m.hk-expo.cn/